Happy woman after a comfortable dental treatment

Smile Gallery

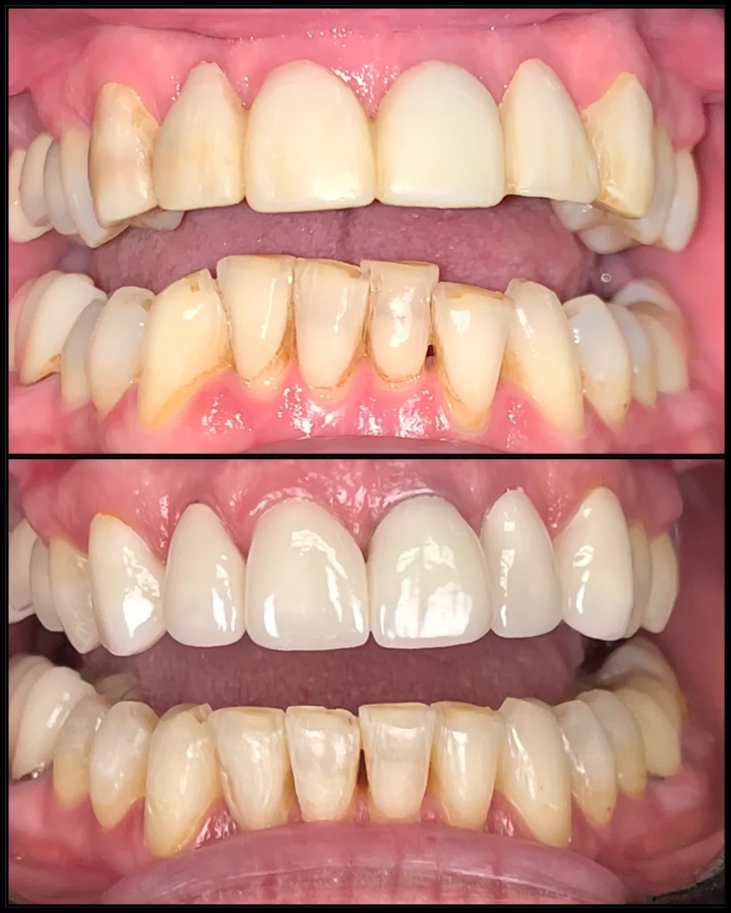
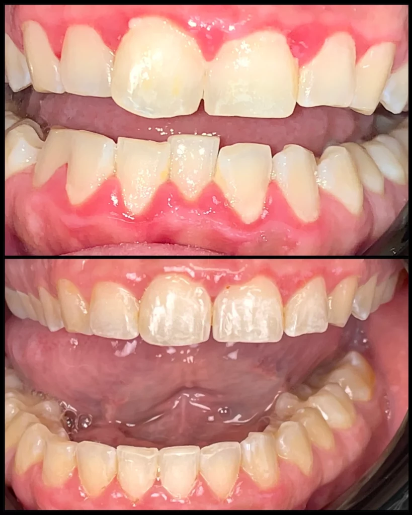
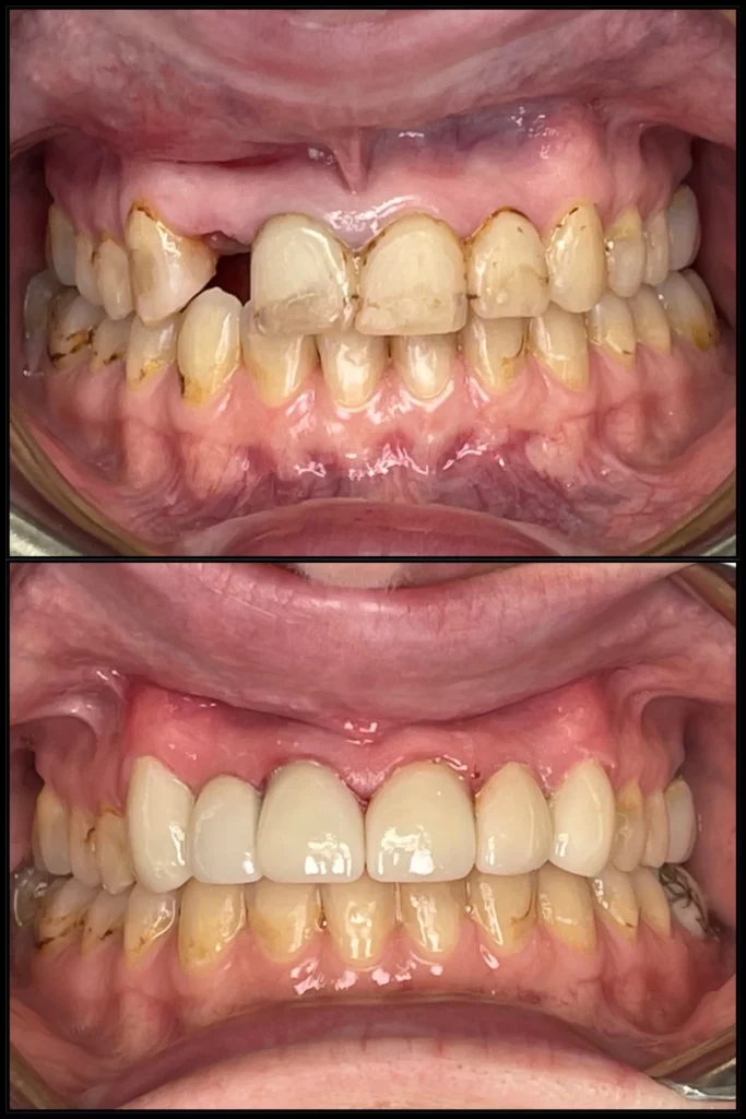
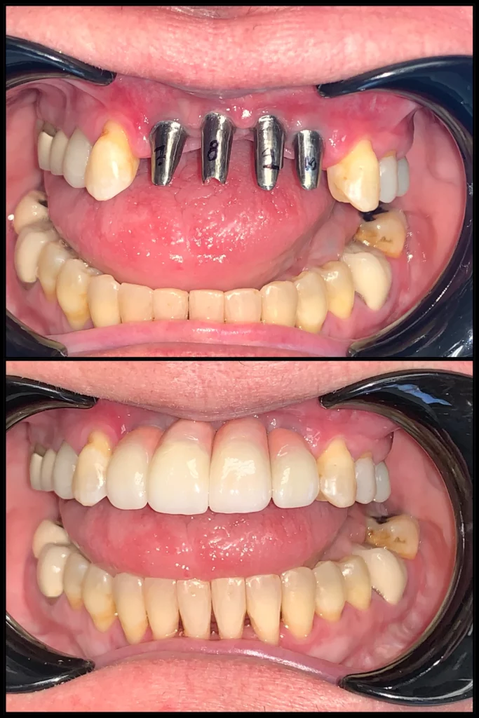
Your smile tells a story—and we’re proud to be part of so many transformations. Our Smile Gallery showcases real patients who trusted us with their dental care and achieved results they love. From subtle enhancements to complete smile makeovers, each case highlights the artistry, precision, and personalized approach we bring to every treatment.

Take a look through these before-and-after photos to see what’s possible. Whether you’re considering whitening, veneers, orthodontics, or a full restoration, your new smile could be next.